治療法は一人一人異なります
ひとえに前歯の矯正と言っても、すきっ歯・出っ歯・ガタガタなど多種多様ございます。
つまり、みんな治療法が異なるのです。
当院には精密な診断機器が全クリニックにあるので、一人一人にあった最適な治療プランを立案した上で、治療にあたることが可能です。
| 施術範囲 | 上顎10本・下顎10本
|
|---|---|
| 施術適応 | 全て |
| 治療期間 | 3ヶ月〜8ヶ月 |
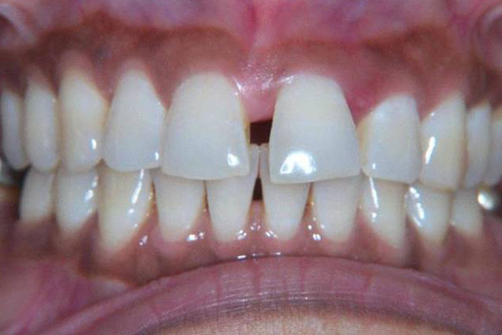
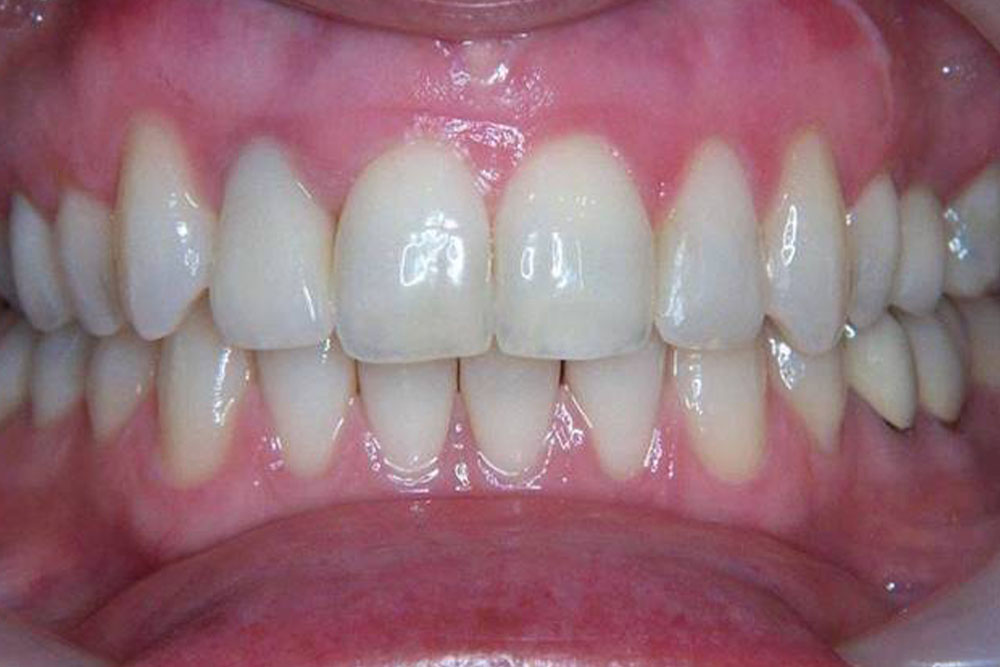
治療前
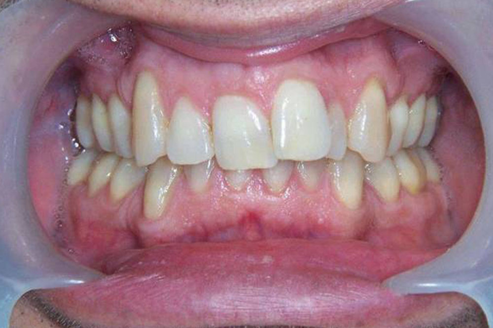
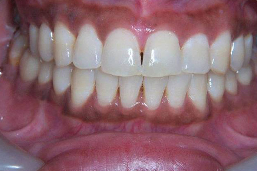
治療後
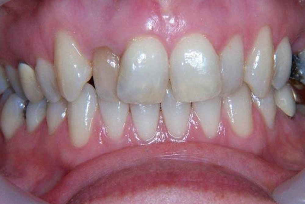
治療前
治療後
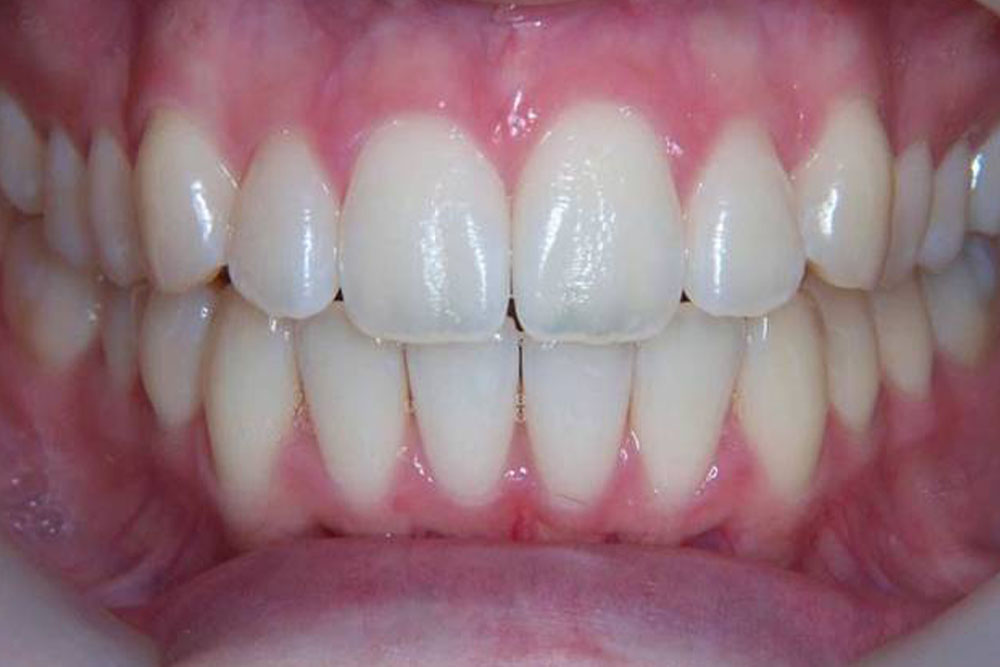
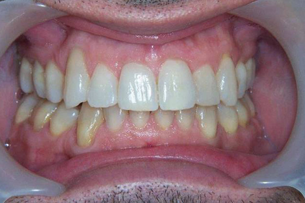
治療前
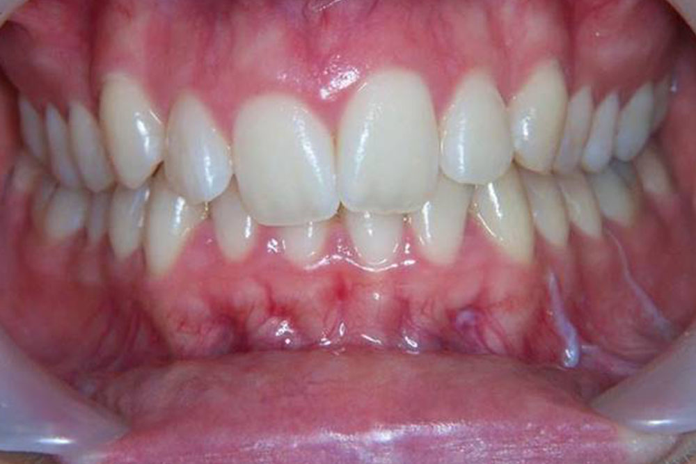
治療後
治療前
治療後
ひとえに前歯の矯正と言っても、すきっ歯・出っ歯・ガタガタなど多種多様ございます。
つまり、みんな治療法が異なるのです。
当院には精密な診断機器が全クリニックにあるので、一人一人にあった最適な治療プランを立案した上で、治療にあたることが可能です。

〒214-0014 神奈川県川崎市多摩区
登戸2061-1-1F 向ヶ丘パーク・ホームズ
ステーションフロント102
小田急線『向ヶ丘遊園駅』徒歩3分
TEL:044-922-3257
〒166-0003
東京都杉並区高円寺南4-29-2-3-D
ミヤシタビル高円寺メディカルプラザ3-D
JR中央線『高円寺駅』南口徒歩3分
TEL:03-5929-7650
〒252-0231 神奈川県相模原市
中央区相模原5丁目5-1
エス・バイ・エルマンション相模原 1F
JR横浜線『相模原駅』徒歩10分
TEL:042-730-6686