対応できる歯並び

目 次

対応可能な歯並びについて

  • ガタガタ

    ガタガタした
    歯並びや八重歯

  • 出っ歯

    出っ歯

  • 受け口

    受け口

  • すきっ歯

    すきっ歯

  • 前歯で口が閉じない

    前歯で口が
    閉じない

  • 中心がずれている

    中心が
    ずれている

  • 噛み合わせが深い

    噛み合わせが
    深い

当グループのマウスピース矯正では様々なケースに対応してます。

※重度の症状によっては対応が難しい場合がございます。まずはご相談ください。

前歯の歯並びをキレイに

スマイルトゥルーは、アメリカ発の世界各国で実績のあるマウスピース矯正システムです。
今までの矯正装置とは違い、目立たず、違和感やストレスが少なく、リーズナブルな治療費で矯正治療を行うことが可能です。

スマイルトゥルー対応可能な症例

前歯をピンポイントで動かすので、効果的な改善が見込めます

施術範囲

上顎10本・下顎10本

上顎10本 下顎10本
治療期間 3ヶ月〜8ヶ月

治療が難しいケースについて

以下の場合には、スマイルトゥルーによる治療が難しい場合がございます。
詳しくは歯科医師または診療スタッフにお尋ねください。

治療が難しいケース

  • 重度の顎関節症
  • 骨格性反対咬合
  • 重度の歯周病の場合
  • レントゲンや相談などにおいて、医師が問題を発見した場合

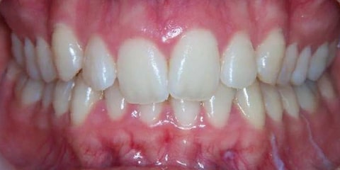
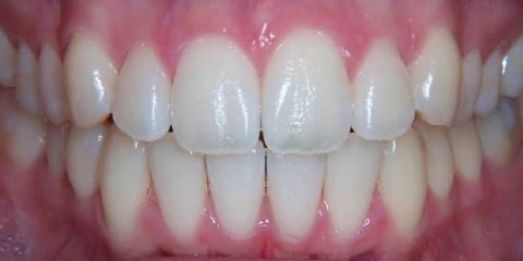
スマイルトゥルーの症例について

治療前

治療前写真

治療後

治療後写真
他の症例もみる

クリニック一覧

ラビット歯科 戸田

ラビット歯科 戸田 ラビット歯科 戸田

〒335-0021
埼玉県戸田市新曽1292-4

JR埼京線『戸田駅』徒歩10分

TEL:048-441-8000

詳しくみる

ラビット歯科 松戸

ラビット歯科 松戸 ラビット歯科 松戸

〒270-2253 千葉県松戸市
日暮1-16-1 RG八柱ビル3F

新京成線『八柱駅』徒歩1分

TEL:047-392-8911

詳しくみる

ラビット歯科 仙台

ラビット歯科 仙台 ラビット歯科 仙台

〒980-0004 宮城県仙台市青葉区
宮町4-5-34 Noie Sendai宮町2F

仙山線『東照宮駅』徒歩5分

TEL:022-796-0290

詳しくみる

ラビット歯科 春日部

ラビット歯科 春日部 ラビット歯科 春日部

〒344-0067
埼玉県春日部市中央1-53-1

東武アーバンパークライン
『春日部駅』西口から徒歩4分

TEL:0120-789-247

詳しくみる

ひまわり歯科 向ヶ丘遊園

ひまわり歯科 向ヶ丘遊園 ひまわり歯科 向ヶ丘遊園

〒214-0014 神奈川県川崎市多摩区
登戸2061-1-1F 向ヶ丘パーク・ホームズ
ステーションフロント102

小田急線『向ヶ丘遊園駅』徒歩3分

TEL:044-922-3257

詳しくみる

ひまわり歯科 高円寺

ひまわり歯科 高円寺 ひまわり歯科 高円寺

〒166-0003
東京都杉並区高円寺南4-29-2-3-D
ミヤシタビル高円寺メディカルプラザ3-D

JR中央線『高円寺駅』南口徒歩3分

TEL:03-5929-7650

詳しくみる

ひまわりデンタルクリニック駒込

ひまわりデンタルクリニック駒込 ひまわりデンタルクリニック
駒込

〒113-0021
東京都文京区本駒込3丁目29-5
エール文京1F

南北線『本駒込駅』徒歩8分

TEL:03-6304-1578

詳しくみる

ひまわり歯科 相模原

ひまわり歯科 相模原 ひまわり歯科
相模原

〒252-0231 神奈川県相模原市
中央区相模原5丁目5-1
エス・バイ・エルマンション相模原 1F

JR横浜線『相模原駅』徒歩10分

TEL:042-730-6686

詳しくみる 移転のお知らせについて