24時間かんたん予約初回無料相談を予約する

MV

全国で8医院展開

認定歯科医師の在籍数が国内最大級 確かな技術で美しい歯並びへのお手伝いをします。

信頼のマウスピース矯正で
キレイな歯並びと笑顔に

WEBからのご成約の方へ

ホワイトニング剤 1本プレゼント

月々3,800

税込

分割84回払い

スマイルトゥルー

※相模原、戸田、春日部医院では
 キャンペーンを実施しておりません。

無料カウンセリング 理想の歯並びの
無料相談はこちらへ
新型コロナウイルス
感染防止についての対応と
お願い

こんなお悩みは
ございませんか?

  • スマイルトゥルー
  • スマイルトゥルー
  • スマイルトゥルー
  • スマイルトゥルー

こんな方にはマウスピースを
使用した矯正歯科治療
スマイルトゥルー
おすすめです。

スマイルトゥルーとは?

スマイルトゥルーとは、前歯5本ずつをピンポイントで動かすマウスピース矯正です。日本ではまだ知名度は低いですが、アメリカ発祥でインビザライン同様、
世界各国で高い評価を受けているマウスピース矯正治療
です。

スマイルトゥルーについて

あなたの歯並びは、どのタイプ?

  • ガタガタ

    ガタガタ歯
    や八重歯

  • 出っ歯

    出っ歯

  • 受け口

    受け口

  • すきっ歯

    すきっ歯

  • 前歯で口が閉じない

    前歯で口が
    閉じない

  • 中心がずれている

    中心が
    ずれている

  • 噛み合わせが深い

    噛み合わせが
    深い

当グループの
マウスピース矯正では
様々なケースに対応
してます。

他院で断れた場合でも治せる
かもしれません

スマイルトゥルーは、世界各国でも高い評価を受けている実績のあるマウスピース矯正システムですので、治したいのが前歯だけなら基本的に適応可能です。

さらに、当グループは米国で矯正診断をしている専門ドクターによるチーム体制ですので、他院で治せないと断れる、いわゆる難症例でも治療できる可能性がございます。

当グループの
マウスピース矯正の特徴

月々3,800円〜
分割払いOK

月々3,800円(税込)から手軽に始められるマウスピース矯正です。

価格が安い

ホワイトニング剤
1本付き

マウスピースを利用してホワイトニングを行うことができます。

90%が適応

じっくりと
カウンセリング

患者さまのご希望をお聞きし、最適な治療プランをご提案します。

全〇院に展開

自分で
着脱が可能

ご自分で着脱でき、お食事などの場面に合わせて取り外せます。

質の高い治療

透明で目立たない
マウスピース矯正

透明に近いので、ワイヤー矯正に比べて目立ちにくいです。

症例数多数

安心の
総合歯科治療

矯正専門の医院とは異なり、歯周病や虫歯の対応も可能です。

万全なサポート体制

当グループについて

当グループの専門ドクター紹介

医療法人社団 立靖会は全国8拠点で歯科医療サービスの運営・技術向上に取り組んでおります。
当グループは、スマイルトゥルー認定医の在籍数が国内トップクラス
また、世界各国の矯正診断をしている米国の専門チームが診断をサポートしますので、
安心して治療を受けていただくことが可能です。

クリニック一覧をみる

専門チームが万全な体制で
あなたをサポートします

激安の治療費にお気をつけください。
マウスピース矯正に対応する医院が増え、価格の安さだけをアピールする「価格競争」が激化しています。
しかしながら、格安な治療費には必ず原因があります。必要な治療工程を省いたり、悪質な素材を使用したりなど理由はさまざまです。
矯正治療を受けられる方はご注意ください。

複数のクリニックを比較する場合、最初のご相談は当グループが便利です。
初診相談をマウスピース矯正専門ドクターが無料で行うので、コストを抑えてあなたのお口の状態が分かります。

従来のワイヤー矯正との比較

米国発の世界各国で実績のある
矯正システム「スマイルトゥルー」と、
従来の金属を使用したワイヤー矯正との
違いについてご紹介します。

矯正システム「スマイルトゥルー」 ワイヤー矯正 裏側矯正(ワイヤー)
目安総額 20〜60万円 60〜90万円 100万円前後
見た目 透明で目立たない 金属が目立つ 裏側なので目立たない
痛み ほとんど痛みなし 締め付けるような痛みあり 締め付けるような痛みあり
期間 3ヶ月〜8ヶ月 1年〜3年 1年〜3年
取り外し 可能 不可能 不可能
特徴 前歯各10本を重点的に治療 全顎治療 全顎治療

比較について詳しく見る

治療費とお支払いについて

一人一人のライフプランに合わせ、
お支払いは自由自在です。

「スマイルトゥルー」モニター価格 月々3,400円 「スマイルトゥルー」モニター価格 月々3,400円

スマイルトゥルーは、アメリカ発の世界各国で実績のあるマウスピース矯正システムです。
今までの矯正装置とは違い、目立たず、違和感やストレスが少なく、
リーズナブルな治療費で矯正治療を行うことが可能です。

ライトプラン

アライナー10枚まで

275,000(税込)

ベーシックプラン

アライナー20枚まで

440,000(税込)

料金について詳しく見る

000,000円(税込)の
分割ローンシミュレーション

分割ローンシミュレーション

分割
回数
初回料金
(税込)
2回目以降
(税込)
6回 0,000円 0,000円
12回 0,000円 0,000円
24回 0,000円 0,000円
36回 0,000円 0,000円
48回 0,000円 0,000円
60回 0,000円 0,000円
72回 0,000円 0,000円
84回 0,000円 0,000円

ご注意事項

  • 分割ローンのお支払いには手数料を含みます
  • 分割ローンには審査が必要です
  • こちらはシミュレーション例となりますので、詳しくはクリニックにてお問い合わせください

275,000円(税込)の場合

分割
回数
初回料金
(税込)
2回目以降
(税込)
6回 46,555円 46,300円
12回 24,393円 23,300円
24回 12,317円 11,900円
36回 11,407円 8,000円
48回 10,163円 6,100円
60回 7,385円 5,000円
72回 9,773円 4,200円
84回 6,527円 3,800円

ご注意事項

  • 分割ローンのお支払いには手数料を含みます
  • 分割ローンには審査が必要です
  • こちらはシミュレーション例となりますので、詳しくはクリニックにてお問い合わせください

000,000円(税込)の
分割ローンシミュレーション

分割ローンシミュレーション

分割
回数
初回料金
(税込)
2回目以降
(税込)
6回 0,000円 0,000円
12回 0,000円 0,000円
24回 0,000円 0,000円
36回 0,000円 0,000円
48回 0,000円 0,000円
60回 0,000円 0,000円
72回 0,000円 0,000円
84回 0,000円 0,000円

ご注意事項

  • 分割ローンのお支払いには手数料を含みます
  • 分割ローンには審査が必要です
  • こちらはシミュレーション例となりますので、詳しくはクリニックにてお問い合わせください

440,000円(税込)の場合

分割
回数
初回料金
(税込)
2回目以降
(税込)
6回 74,389円 74,100円
12回 37,709円 37,400円
24回 20,627円 19,000円
36回 14,751円 12,900円
48回 14,381円 9,800円
60回 11,817円 8,000円
72回 9,957円 6,800円
84回 12,103円 5,900円

ご注意事項

  • 分割ローンのお支払いには手数料を含みます
  • 分割ローンには審査が必要です
  • こちらはシミュレーション例となりますので、詳しくはクリニックにてお問い合わせください

歯並び別 症例紹介

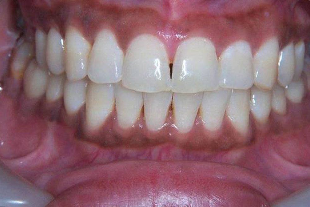
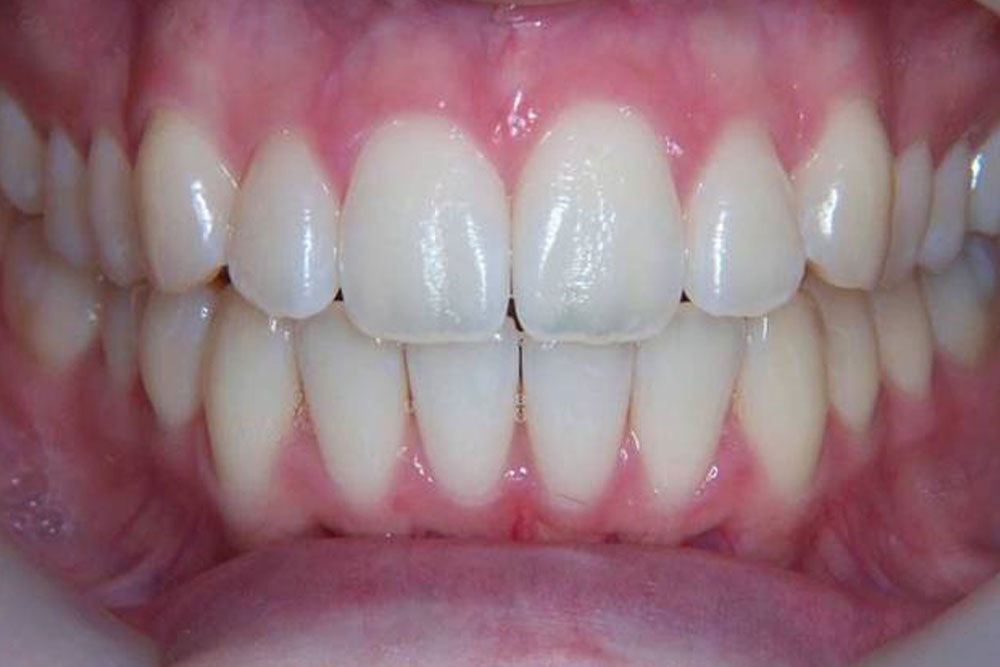
前歯の出っ歯が
気になる

Before

前歯の出っ歯が気になる

After

前歯の出っ歯が気になる

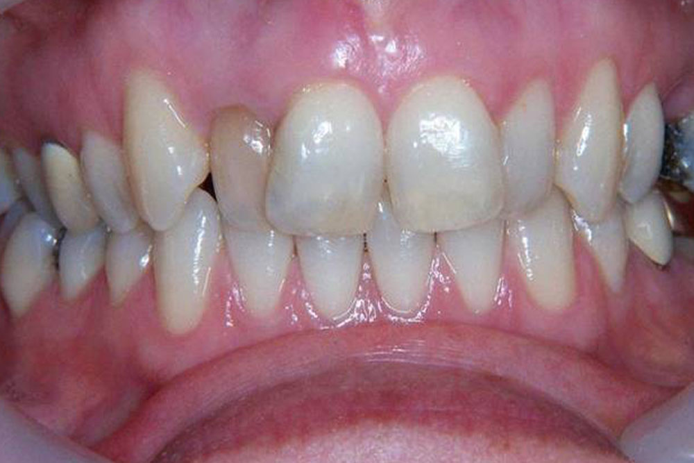
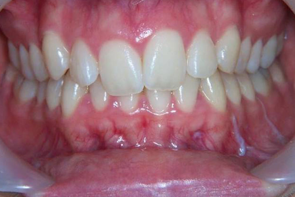
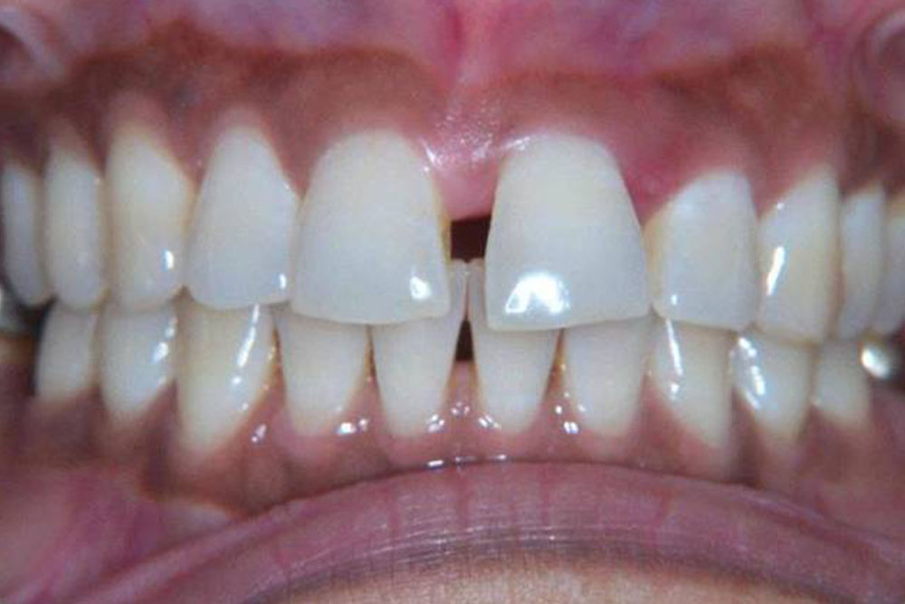
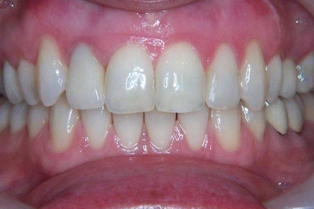
上の歯の隙間が
気になる

Before

上の歯の隙間が気になる

After

上の歯の隙間が気になる

前歯のねじれを
治したい

Before

笑うと見える八重歯をどうにかしたい

After

笑うと見える八重歯をどうにかしたい

前歯をピンポイントで
動かす
ので、
効果的な改善が見込めます

矯正システム「スマイルトゥルー」
施術範囲

上顎10本・下顎10本

上顎5本 下顎5本

施術適応 全て
治療期間 3ヶ月〜8ヶ月

症例集を詳しく見る

あなたの歯並び改善ステップ

カウンセリング・精密検査
患者様の「費用面・治療期間」などのご要望をしっかり伺います。精密検査の結果を考慮しながら正確な情報をきちんとお伝えしますので、ご安心ください。
カウンセリング・精密検査
マウスピース製作
効果的な矯正治療を行うため、歯や歯茎の形を正確に型取る"印象採得"を行い、そのデータを基に、あなた専用のマウスピース(アライナー)を製作します。
マウスピース製作
矯正治療スタート
専用のアライナーを用いて治療スタートです。
1日20時間以上装着していただき、飲食、ブラッシングのときは外してください。
矯正治療スタート
経過観察・矯正完了
2週間に一度、クリニックで治療状況のチェックを受け、次のアライナーに交換してください。
早い方であれば3ヶ月から5か月程度できれいな歯並びになります。
経過観察・矯正完了

治療の流れを詳しく見る

当グループが選ばれる理由

Reason1

価格が安い

従来のワイヤー矯正と比べて、当グループのマウスピース矯正は月額3,800円(税込)〜とリーズナブルです。

価格が安い

Reason2

最短3ヶ月で治療完了

スマイルトゥルーの治療期間は3ヶ月〜8ヶ月程度です。

最短◯ヶ月で治療完了

Reason3

目立たず取り外し可能

マウスピースは透明なので、周りに目立つことなく、お食事の際にもご自分で取り外しが可能です。

目立たず取り外し可能

Reason4

製品の質が安定

マウスピース矯正「スマイルトゥルー」は、米国発の世界各国で実績のあるマウスピース型(アライナー)矯正システムです。

製品の質が安定

Reason5

高度な歯列デザイン技術

治療を始める前に、最終的な歯並び予測を3D画像上で確認することができ、納得してからスタートできます。

高度な歯列デザイン技術

選ばれる理由を詳しく見る

よくある質問

カスタムメイドの透明なマウスピース型矯正装置です。歯に装着し、定期的に交換することで少しずつ位置を移動させ、歯並びを整えていきます。
歯科医院からの案内に従い、装着期間と1日の装着時間を守ってご使用ください。

スマイルトゥルー矯正のアライナーは治療終了までを予測し患者様の同意を得てから、全て一括で製作され歯科医院へ納品となります。
そのためアライナー製作依頼後の、キャンセル・返品を承る事ができませんのでご理解を賜りますようお願い申し上げます。

治療を始める前に、最終的な歯並び予測を3D画像上で確認することができ、納得してからスタートできます。

よくある質問一覧を見る

クリニック一覧

ラビット歯科 戸田

ラビット歯科 戸田 ラビット歯科 戸田

〒335-0021
埼玉県戸田市新曽1292-4

JR埼京線『戸田駅』徒歩10分

TEL:048-441-8000

詳しくみる

ラビット歯科 松戸

ラビット歯科 松戸 ラビット歯科 松戸

〒270-2253 千葉県松戸市
日暮1-16-1 RG八柱ビル3F

新京成線『八柱駅』徒歩1分

TEL:047-392-8911

詳しくみる

ラビット歯科 仙台

ラビット歯科 仙台 ラビット歯科 仙台

〒980-0004 宮城県仙台市青葉区
宮町4-5-34 Noie Sendai宮町2F

仙山線『東照宮駅』徒歩5分

TEL:022-796-0290

詳しくみる

ラビット歯科 春日部

ラビット歯科 春日部 ラビット歯科 春日部

〒344-0067
埼玉県春日部市中央1-53-1

東武アーバンパークライン
『春日部駅』西口から徒歩4分

TEL:0120-789-247

詳しくみる

ひまわり歯科 向ヶ丘遊園

ひまわり歯科 向ヶ丘遊園 ひまわり歯科 向ヶ丘遊園

〒214-0014 神奈川県川崎市多摩区
登戸2061-1-1F 向ヶ丘パーク・ホームズ
ステーションフロント102

小田急線『向ヶ丘遊園駅』徒歩3分

TEL:044-922-3257

詳しくみる

ひまわり歯科 高円寺

ひまわり歯科 高円寺 ひまわり歯科 高円寺

〒166-0003
東京都杉並区高円寺南4-29-2-3-D
ミヤシタビル高円寺メディカルプラザ3-D

JR中央線『高円寺駅』南口徒歩3分

TEL:03-5929-7650

詳しくみる

ひまわりデンタルクリニック駒込

ひまわりデンタルクリニック駒込 ひまわりデンタルクリニック
駒込

〒113-0021
東京都文京区本駒込3丁目29-5
エール文京1F

南北線『本駒込駅』徒歩8分

TEL:03-6304-1578

詳しくみる

ひまわり歯科 相模原

ひまわり歯科 相模原 ひまわり歯科 相模原

〒252-0231
神奈川県相模原市
中央区相模原5丁目5-1
エス・バイ・エルマンション相模原 1F

JR横浜線『相模原駅』徒歩10分

TEL:042-730-6686

詳しくみる